Descubre nuestros casos reales en Marbella

CASOS DE ORTODONCIA

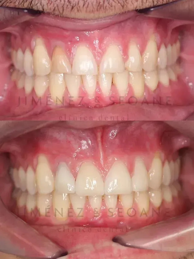
Ortodoncia con brackets

Antes

Ahora

Un primer plano de la boca de una persona con sus dientes visibles.
Un primer plano de la boca de una mujer con los dientes visibles.
Primer plano de la boca de un niño que muestra dientes frontales desiguales con un espacio entre ellos e incisivos apiñados.
Primer plano de dientes con aparatos de ortodoncia y encías rosadas al abrir la boca.
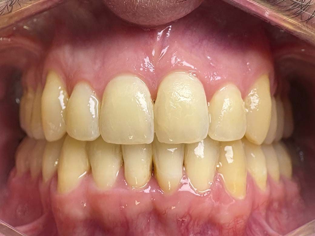
Un primer plano de la boca de una persona con sus dientes visibles.
Un primer plano de la boca de una mujer con los dientes visibles.

Ortodoncia con alineadores

Antes

Ahora

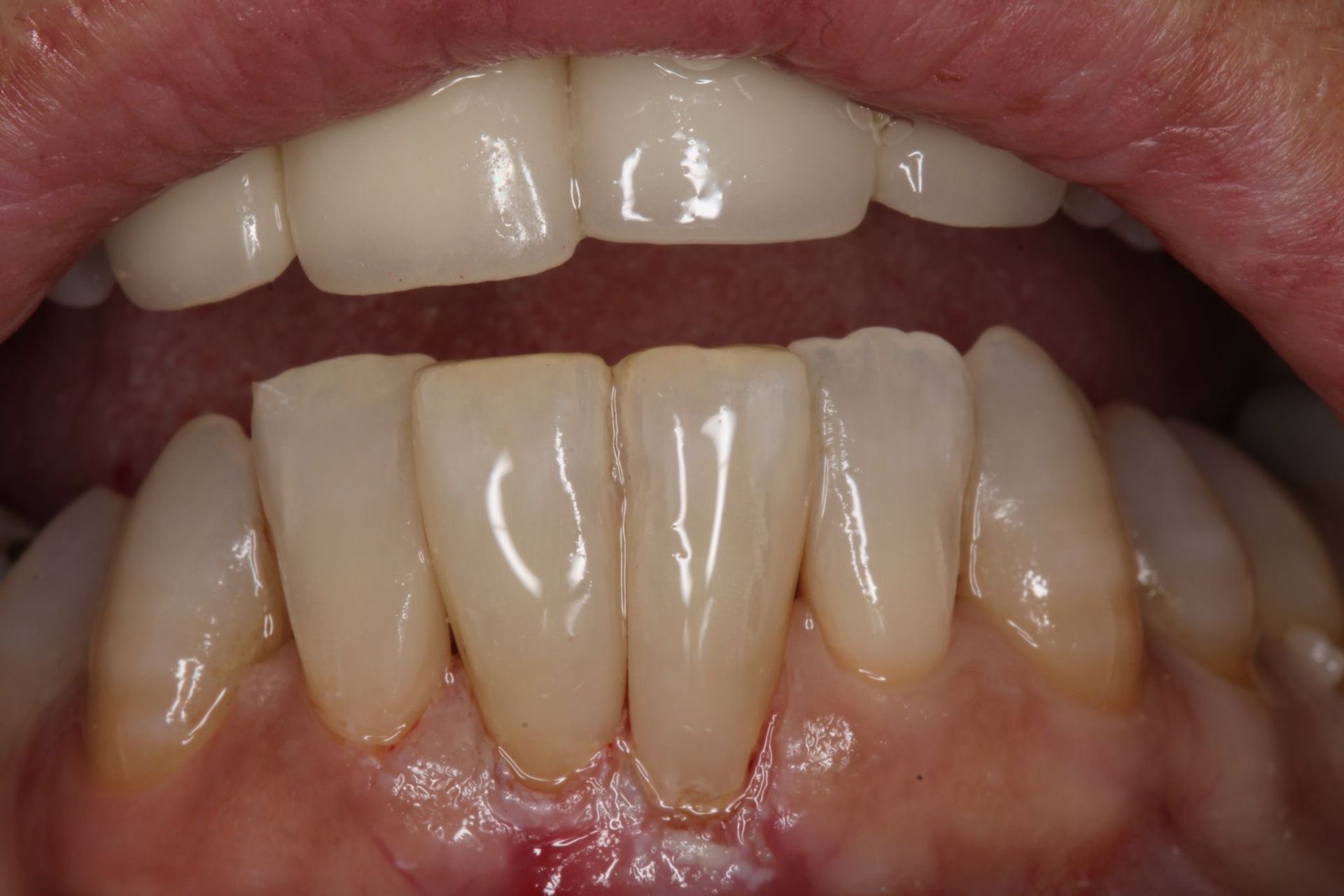
Un primer plano de los dientes de una persona con una corona en uno de ellos.
Un primer plano de los dientes de una persona con un protector bucal transparente.
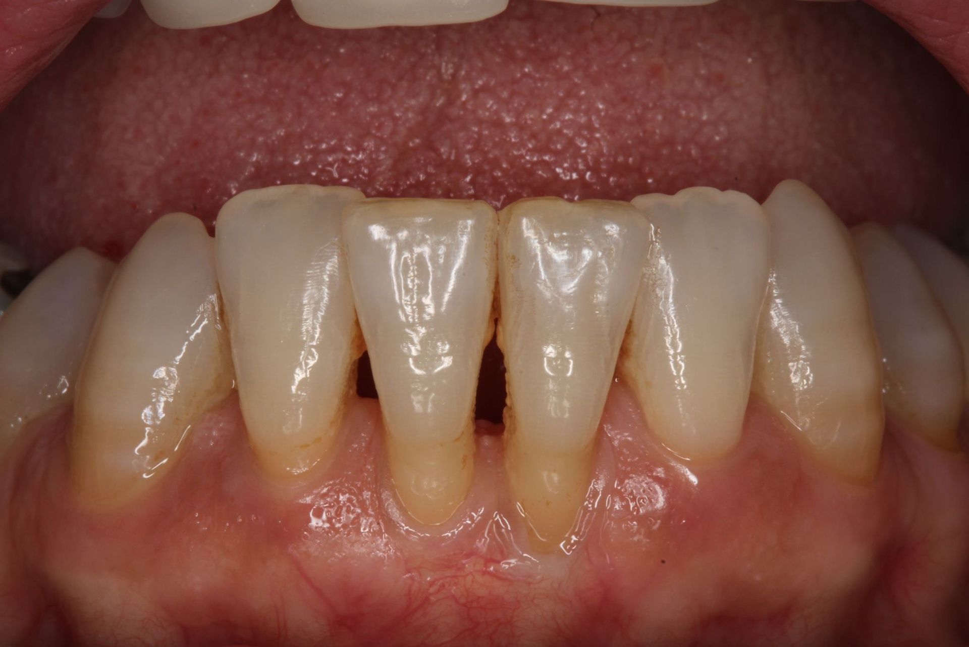
Un primer plano de la boca de una persona con sus dientes visibles.
Un primer plano de la boca de una mujer con los dientes visibles.
Un primer plano de los dientes de una persona con una corona en uno de ellos.
Un primer plano de los dientes de una persona con un protector bucal transparente.
Un primer plano de los dientes de una persona con una corona en uno de ellos.
Un primer plano de los dientes de una persona con un protector bucal transparente.

Apiñamiento ortodoncia

Antes

Ahora

Un primer plano de la boca de una persona con sus dientes visibles.
Un primer plano de la boca de una mujer con los dientes visibles.
Un primer plano de los dientes de una persona con una corona en uno de ellos.
Un primer plano de los dientes de una persona con un protector bucal transparente.

Canting ortodoncia

Antes

Ahora

Un primer plano de los dientes de una persona con un protector bucal.
Un primer plano de la boca de una persona con dientes blancos y encías rojas.

Ci apiñamiento

Antes

Ahora

Un primer plano de la boca de una persona con aparatos dentales.
Un primer plano de la boca de una persona con dientes blancos.

CII ortodoncia

Antes

Ahora

Un primer plano de la boca de una persona con sus dientes visibles.
Un primer plano de la boca de una persona con dientes blancos y encías rojas.

CII ortodoncia fija

Antes

Ahora

Un primer plano de la sonrisa de una mujer con dientes blancos.
Un primer plano de la sonrisa de una mujer con dientes blancos.
Un primer plano de los dientes de una persona con un protector bucal.
Un primer plano de los dientes de una persona con un protector bucal.

CIII tratada con ortodoncia

Antes

Ahora

Un primer plano de la boca de una persona con dientes blancos.
Un primer plano de los dientes de una persona con la boca abierta.

Tratamiento con alineadores

Antes

Ahora

Primer plano de una boca sonriente que muestra los dientes con un pequeño espacio entre los dientes frontales.
Primer plano de una boca sonriente que muestra los dientes y los labios rosados.
Primer plano de una boca abierta que muestra los dientes superiores e inferiores con espacios visibles y decoloración.
Primer plano de los dientes superiores e inferiores con aparatos de ortodoncia, mostrando el tratamiento ortodóncico.
Primer plano de los dientes con un espacio notable entre los dientes frontales superiores e inferiores.
Primer plano de una boca sonriente con los dientes visibles y los labios ligeramente entreabiertos.
Primer plano de dientes y encías con un espacio y una desalineación visible durante un examen dental.
Primer plano de una boca que muestra dientes superiores e inferiores apiñados con encías visibles.
Primer plano de dientes con encías rojas e inflamadas y un pequeño espacio entre los dientes frontales.
Primer plano de una boca donde se ven los dientes y las encías, con la lengua visible y la mordida ligeramente abierta.

Diastema cerrado con alineadores

Antes

Ahora

Un primer plano de la sonrisa de una mujer con dientes faltantes.
Un primer plano de la boca de una mujer con una sonrisa y pendientes.

Mordida abierta con alineadores sin extracciones

Antes

Ahora

Un primer plano de los dientes de una persona con un protector bucal.
Un primer plano de los dientes y las encías de una persona.

Mordida abierta tratada con Ortodoncia fija mediante brackets autoligables

Antes

Ahora

Primer plano de una persona sonriendo, mostrando unos dientes desiguales y amarillentos con un espacio prominente.
Primer plano de una persona sonriendo, mostrando los dientes y los labios carnosos.

Tratamiento 12 meses con alineadores

Antes

Ahora

Hombre con una amplia sonrisa, mostrando los dientes. Piel clara. Fondo beige.
Primer plano de un hombre sonriente, mostrando los dientes, los labios y la barbilla.

Mordida abierta resuelta con brackets

Antes

Ahora

Un primer plano de la boca de un hombre con los dientes visibles.
Un primer plano de la cara de un hombre con una sonrisa en su rostro.
Un primer plano de los dientes de una persona con la boca abierta.
Un primer plano de los dientes de una persona con un protector bucal.

Mordida cruzada resuelta con ortodoncia

Antes

Ahora

Un primer plano de la boca de una persona con sus dientes visibles.
Un primer plano de la boca de una persona con sus dientes visibles.

Antes

Ahora

Un primer plano de los dientes de una persona con aparatos ortopédicos.
Un primer plano de los dientes de una persona con un protector bucal.

Ortodoncia tracción caninos

Antes

Ahora

Un primer plano de la sonrisa de una mujer con dientes blancos.
Un primer plano de la sonrisa de una mujer con dientes blancos.

Sonrisa gingival resuelta con ortodoncia

Antes

Ahora

Un primer plano de la boca de una persona con sus dientes visibles.
Un primer plano de la sonrisa de una persona con dientes blancos.
Un primer plano de la boca de una persona con sus dientes visibles.
Un primer plano de la boca de una mujer con los dientes visibles.

CASOS DE ESTÉTICA DENTAL

Reconstrucciones estéticas para cierre de troneras

Antes

Ahora

Primer plano de los dientes frontales con encías rojas e inflamadas y retracción gingival.
Primer plano de la boca abierta mostrando los dientes frontales superiores e inferiores y las encías.
Primer plano de los dientes frontales inferiores con encías retraídas y una línea gingival ligeramente rosada.
Primer plano de los dientes frontales inferiores con tejido gingival rojo e irritado cerca de la línea de las encías.

Carillas de resina compuesta

Antes

Ahora

Primer plano de una boca sonriente que muestra dientes desiguales y descoloridos con una marca de agua dental debajo.
Primer plano de una boca sonriente con dientes visibles y un pequeño lunar en el labio superior.
Un primer plano de los dientes de una persona sobre un fondo negro.
Un primer plano de los dientes de una persona sobre un fondo negro.

Carillas de zirconio

Antes

Ahora

Un primer plano de los dientes de una persona sobre un fondo negro.
Un primer plano de los dientes de una persona sobre un fondo negro.
Un primer plano de los dientes de una persona sobre un fondo negro.
Un primer plano de los dientes de una persona sobre un fondo negro.

Corona zirconio

Antes

Ahora

Un primer plano de la boca de una mujer sin dientes.
Un primer plano de la sonrisa de una mujer con dientes blancos.
Primer plano de los dientes de un hombre, amarillentos y con una ligera separación. Retractor bucal colocado.
Primer plano de la boca de una persona que muestra dientes blancos brillantes.

Carillas de composite

Antes

Ahora

Un primer plano de la boca de una mujer sin dientes.
Un primer plano de la boca de una mujer sin dientes.
Un primer plano de la boca de una mujer sin dientes.
Un primer plano de la sonrisa de una mujer con dientes blancos.
Un primer plano de la sonrisa de una mujer con dientes blancos.
Un primer plano de la sonrisa de una mujer con dientes blancos.
Un primer plano de los dientes de una persona sobre un fondo negro.
Un primer plano de los dientes de una persona sobre un fondo negro.
Un primer plano de los dientes de una persona con un fondo negro.
Un primer plano de los dientes de una persona sobre un fondo negro.
Un primer plano de los dientes de una persona con un fondo negro.
Un primer plano de los dientes de una persona sobre un fondo negro.

Carillas de disilicato

CASOS COMBINADOS

Ortodoncia y Estética

Antes

Ahora

Primer plano de una boca sonriente con dientes visibles y bigote sobre labios rojos.
Primer plano de una boca sonriente con dientes y una ligera barba incipiente.
Primer plano de una boca sonriente que muestra los dientes con una ligera separación entre los dientes frontales.
Primer plano de una boca sonriente con dientes blancos y labios rosados.
Primer plano de una boca sonriente con dientes y labios visibles.
Primer plano de una boca sonriente que muestra los dientes y los labios.
Primer plano de la boca abierta que muestra los dientes superiores amarillentos y los dientes inferiores apiñados.
Primer plano de los dientes con un espacio notable entre los dientes frontales superiores y un ligero amarilleamiento.

Tto combinado ortodoncia y carillas

Antes

Ahora

Un primer plano de los dientes de una persona a la que le falta un diente.
Un primer plano de los dientes y las encías de una persona.
Un hombre con barba sonríe con la boca abierta.
Un primer plano de la cara de un hombre con una sonrisa en su rostro.
Un primer plano de la boca de una persona con sus dientes visibles.
Un primer plano de la boca de un hombre con dientes blancos.
Primer plano de una boca sonriente con dientes, bigote y barba incipiente visibles.
Primer plano de una boca sonriente con dientes blancos y barba incipiente alrededor de los labios.
Un primer plano de la boca de una persona con sus dientes visibles.
Un primer plano de la boca de un hombre con dientes blancos.
CASOS DE  PRÓTESIS

 Prótesis sobre implantes

Antes

Ahora

Primer plano de un hombre sonriendo, mostrando los dientes superiores e inferiores.
Primer plano de un hombre con dientes blancos y bigote y barba blancos, sonriendo.
Primer plano de la boca de un hombre que muestra dientes severamente cariados y descoloridos; una barba rodea su boca.
Hombre con una sonrisa plena y saludable. Dientes beige, barba castaña y camisa azul.
Conoce a nuestro equipo de especialistas