Blanqueamiento dental en Marbella
Blanqueamiento dental en Marbella

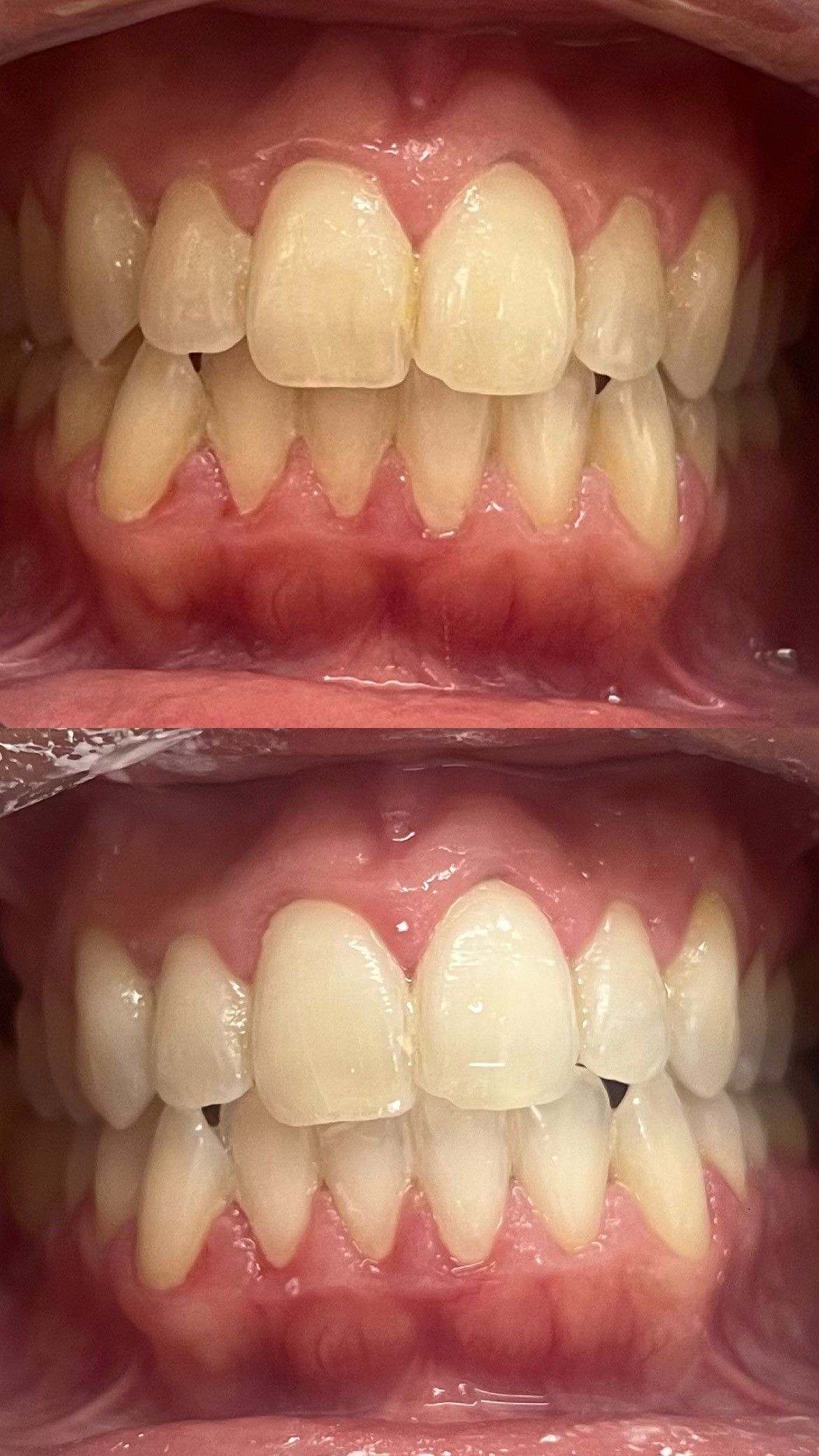
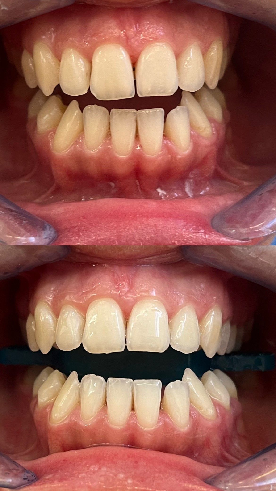
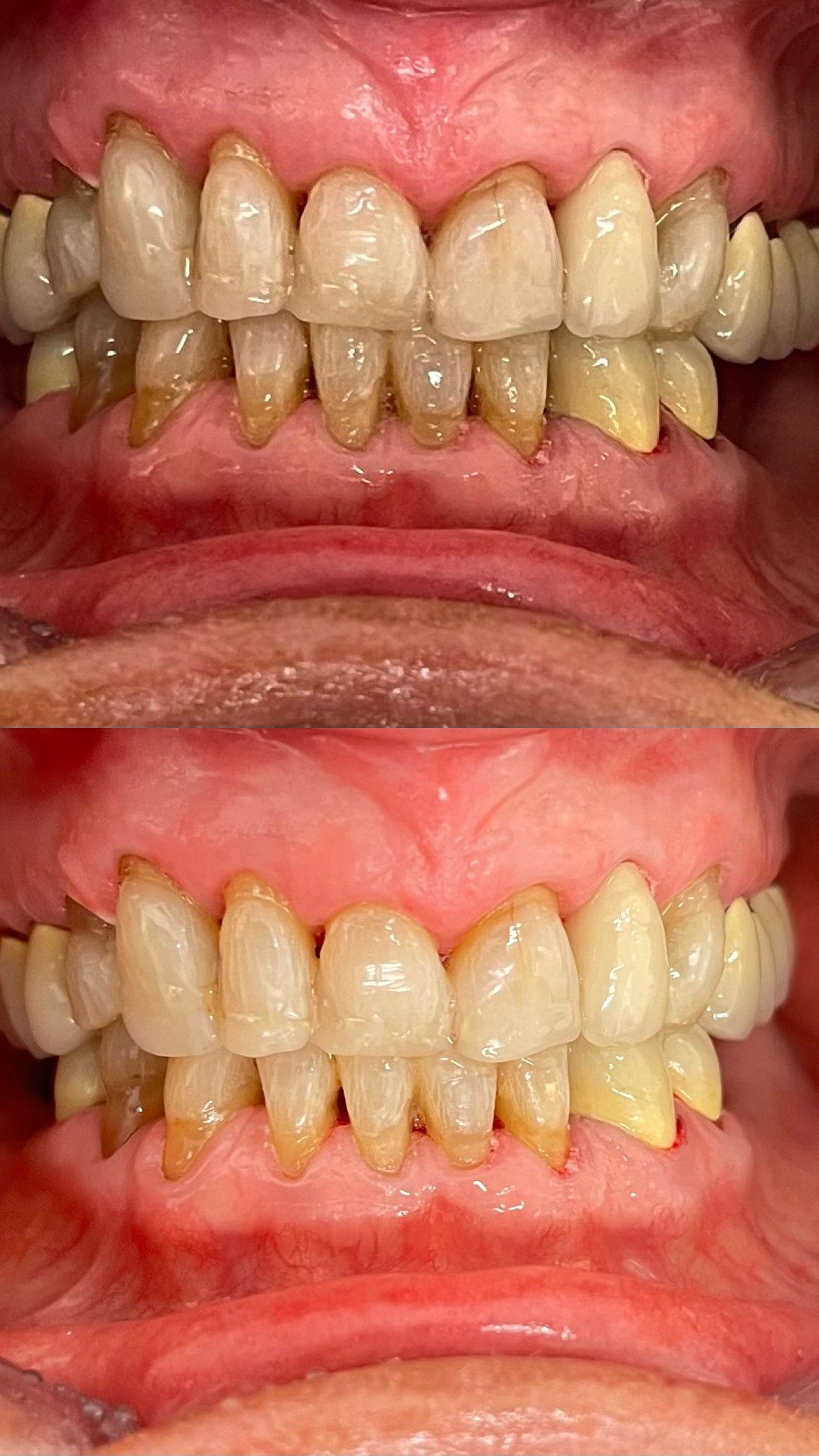
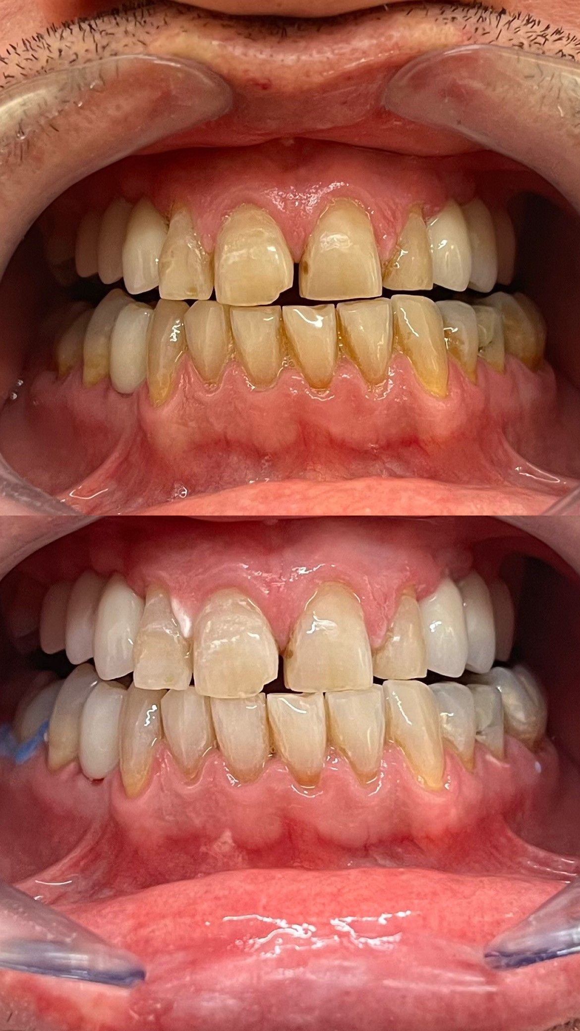
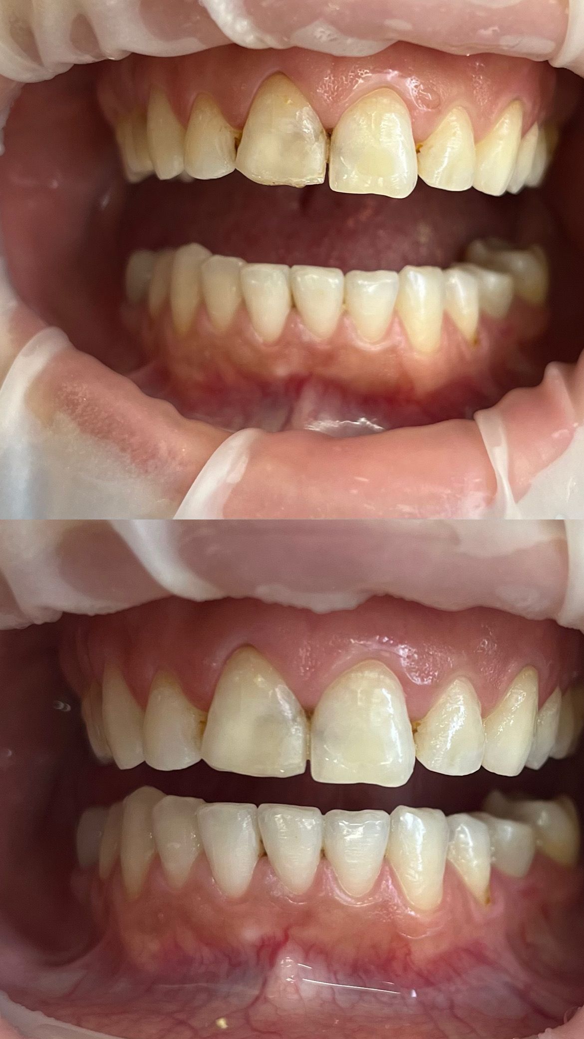
El blanqueamiento dental en Marbella es uno de los tratamientos más populares dentro de la odontología estética. Permite aclarar varios tonos el color natural de los dientes y conseguir una sonrisa más blanca y luminosa.
En nuestra clínica ofrecemos diferentes opciones de blanqueamiento dental en Marbella, adaptadas a las necesidades y expectativas de cada paciente.
Los tratamientos de blanqueamiento utilizan peróxido de carbamida o peróxido de hidrógeno, sustancias seguras que penetran en el esmalte dental para aclarar el color del diente.
Nuestros Especialistas en Odontología en Marbella evaluarán tu caso y te recomendarán el tratamiento más adecuado para conseguir resultados naturales y duraderos.
Tipos de blanqueamiento dental en Marbella
Blanqueamiento dental en clínica
Este tratamiento se realiza en la clínica bajo la supervisión de Especialistas en Odontología en Marbella. Permite obtener resultados visibles desde la primera sesión y se realiza utilizando tecnología profesional.
Blanqueamiento domiciliario supervisado
En este tratamiento nuestros especialistas elaboran férulas personalizadas para que el paciente pueda aplicar el tratamiento desde casa de forma progresiva y segura.
Blanqueamiento combinado
Consiste en realizar un tratamiento de blanqueamiento en clínica en Marbella y posteriormente continuar con un tratamiento domiciliario supervisado. Esta combinación permite conseguir resultados más duraderos y uniformes.
Blanqueamiento dental en clínica
Preguntas frecuentes sobre el blanqueamiento dental en Marbella
¿Se daña el esmalte durante el tratamiento?
No. El esmalte dental no se daña durante el tratamiento cuando se realiza bajo la supervisión de Especialistas en Odontología en Marbella y utilizando productos profesionales.
¿Duele el procedimiento?
No. El blanqueamiento dental es un tratamiento indoloro, rápido y sencillo.
¿Se puede aplicar a cualquier persona?
Sí, siempre que el paciente tenga una buena salud bucodental, sin caries ni enfermedades de las encías.
¿Cuánto dura el resultado?
La duración del blanqueamiento depende de los hábitos del paciente. El consumo frecuente de café, vino tinto, tabaco o ciertos alimentos puede oscurecer los dientes con el tiempo.
¿Funciona el blanqueamiento si soy fumador?
Sí, el tratamiento sí funciona en fumadores, aunque la duración del resultado suele ser menor debido a las manchas provocadas por el tabaco.









